Cabinet Dentaire des Drs NACCACHE, DEKIMECHE et BENILLOUCHE
Cabinet Dentaire des Drs NACCACHE, DEKIMECHE et BENILLOUCHE
Chirurgiens-Dentistes à MONTLHERY

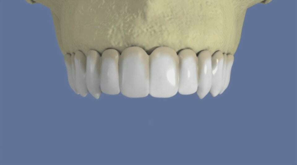
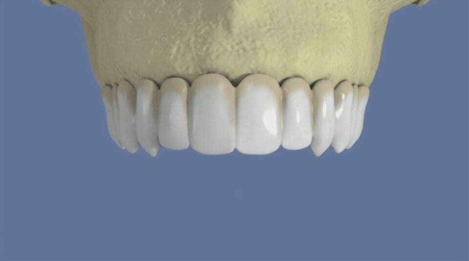
Maxillaire : bridge vissé sans fausse gencive


video-play-icon

Articles similaires

Création par Webdentiste

Connexion